Best Emergency Dentist Near Me in Boerne, TX
When you need immediate dental care, finding the best emergency dentist near you is essential. You want someone who is not only able to see you quickly, but also someone who knows how to deliver care with skill, professionalism, and clear communication. A trusted dentist can help you remain calm and confident during the most …
Read More
I Have A Cavity in Boerne, TX
A healthy smile is one of the best investments you can make in yourself. When you discover you have a cavity, it’s important to see it as an opportunity to strengthen your dental health. Treating cavities not only repairs your tooth but also protects your entire smile, helping you feel confident and assured that you …
Read More
Urgent Dental Appointment in Boerne, TX
Timely dental care can make a world of difference when something doesn’t feel right. Whether you’ve noticed a change in your bite, discomfort when eating, or a sudden issue that won’t go away, prompt treatment can protect your oral health and prevent further complications. When a dental office makes urgent care a priority, it helps …
Read More
I Need A Dental Filling in Boerne, TX
A strong, healthy smile helps you feel confident every day, and part of keeping that strength is addressing dental concerns quickly. When you need a filling, it’s not only about fixing a tooth—it’s about protecting your dental health and gaining peace of mind that your smile is cared for. How fillings improve dental health Fillings …
Read More
Tooth Ache Treatment in Boerne, TX
A toothache may seem like a small problem at first, but getting it checked quickly can make a big difference. Taking action early gives you a chance to improve your dental health, avoid further damage, and enjoy the confidence that comes with a healthy, comfortable smile. How dental care improves your health Tooth pain is …
Read More
Dentist Accepting New Patients in Boerne, TX
A bright, healthy smile begins with choosing the right dental practice. When you find a dentist accepting new patients, you’re opening the door to stronger dental health and the confidence that comes with it. A fresh start with the right team makes it easier to stay consistent, feel supported, and enjoy lasting results. How a …
Read More
Dentist Accepting Emergency Patients in Boerne, TX
Taking quick action when a dental issue arises can protect your long-term oral health. Emergency dental care isn’t just about solving a sudden problem—it also helps you avoid further damage and keep your teeth and gums in the best possible condition. Whether you’re dealing with a cracked tooth or another unexpected issue, a dentist who …
Read More
Dental Checkup And Cleaning in Boerne, TX
A bright, healthy smile makes a lasting impression, and keeping it that way requires regular attention. Making dental checkups and cleanings a priority gives you confidence that your teeth and gums are cared for, while also helping you enjoy the peace of mind that comes with strong oral health. How checkups and cleanings improve your …
Read More
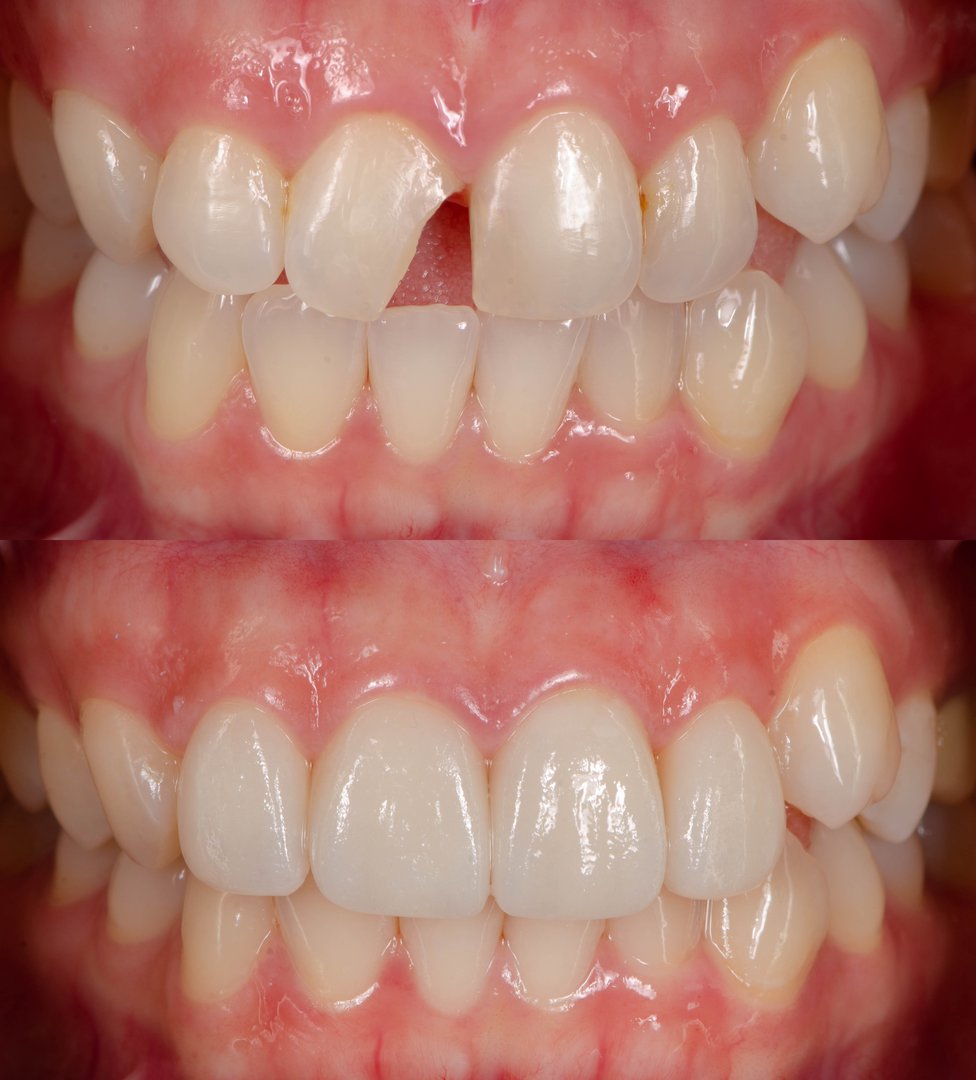
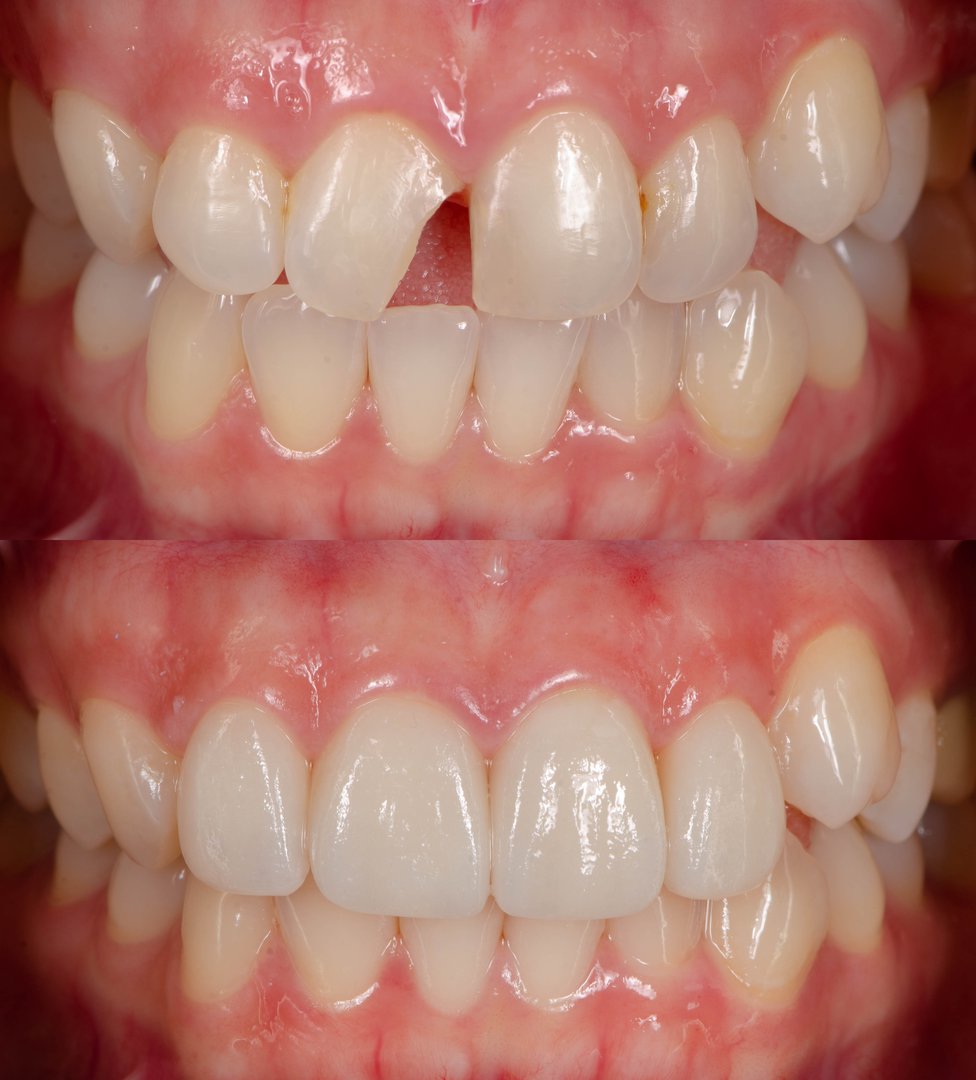
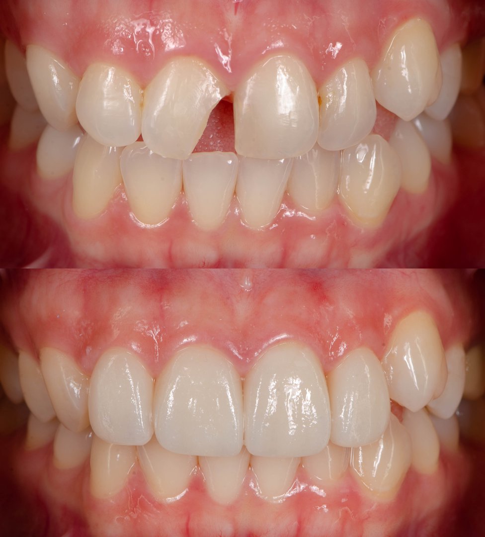
Broken Tooth Treatment in Boerne, TX
You can dramatically improve your dental health with the right treatment after a tooth breaks. Whether the damage is minor or severe, your overall wellness and oral function depend on professional support. With the right dental care, you can protect your natural teeth, avoid future problems, and regain your smile. How dental treatment for a …
Read More
I Need A Dental Filling in Boerne, TX
Taking care of your smile means addressing small concerns before they grow into bigger problems. When you need a dental filling, it’s not just about repairing a tooth—it’s about restoring confidence, protecting your health, and keeping your smile looking its best. Why people need dental fillings There are several reasons why people come to the …
Read More